Χειρουργοί ανακάλυψαν κάτι που έκρυβε στον κόλπο της... δέκα χρόνια! (pics)

Μία Σκωτσέζα ζούσε τα τελευταία δέκα χρόνια με ένα ερωτικό παιχνίδι στον κόλπο της!

Χειρουργοί ανακάλυψαν κάτι που έκρυβε στον κόλπο της... δέκα χρόνια! (pics)

Έχανε βάρος, ένιωθε πόνους και πολύ συχνά έπεφτε σε λήθαργο. Μία γυναίκα με αυτά τα συμπτώματα και μόλις 38 ετών, αποφάσισε να επισκεφθεί ένα γιατρό προκειμένου να διαγνώσει από τι ακριβώς έπασχε!

Η ίδια είπε στο γιατρό ότι τον τελευταίο καιρό είχε ακόμα και... ακράτεια.

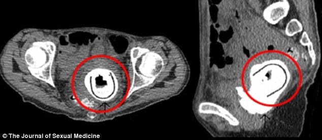
Οι γιατροί έμειναν έκπληκτοι όταν είδαν ότι ένα ξένο σώμα εξείχε στην κύστη της και προερχόταν από τον κόλπο της.

Η επέμβαση αποκάλυψε ότι ήταν ένα ερωτικό παιχνίδι μήκους 11 εκατοστών !

Η γυναίκα παραδέχτηκε ότι το είχε χρησιμοποιήσει με το σύντροφο της πριν 10 χρόνια. Παραδέχτηκε επίσης ότι κατά τη διάρκεια της χρήσης του ήταν μεθυσμένη και δεν θυμόταν αν το είχε βγάλει!

Η γυναίκα έπασχε από «κυστο-κολπικά συρίγγιο» - μια ανωμαλία που επιτρέπει τη ροή των ούρων μέσα στον κόλπο.

Είχε επίσης μια αποφρακτική ουροπάθεια, αφού είχε μπλοκαριστεί η ουροδόχος κύστη .
Μετά την αφαίρεση του παιχνιδιού σεξ, οι γιατροί κατάφεραν να αποκαταστήσουν τη ζημιά και η γυναίκα πήρεαργότερα εξιτήριο.
Δείτε τις εικόνες και μην πίνετε πριν κάνετε σεξ! Μπορεί να... ξεχαστείτε

Διαβάστε επίσης:Έβαλαν... κουρτίνα σε ενυδρείο γιατί τα ψάρια ήταν ντροπαλά! (βίντεο)

Σχόλια
Ροή Ειδήσεων Δημοφιλή