14°C

ΜΟΛΥΒΙ

Το μολύβι θα νικήσει τη μηχανή;

Το μολύβι θα νικήσει τη μηχανή;

ΑΠΟΨΕΙΣ · Πριν από 1 εβδομάδα
Στην Ελλάδα, με ένα σύστημα που ήδη ευνουχίζει τη φαντασία, ο κίνδυνος είναι προφανής: αν η AI μπει χωρίς κατεύθυνση, τότε ακόμη και η προσπάθεια…
Απίστευτο: Ο εγκέφαλός σας δε θα μπορεί να πιστέψει ότι αυτές οι εικόνες δεν είναι φωτογραφίες

Απίστευτο: Ο εγκέφαλός σας δε θα μπορεί να πιστέψει ότι αυτές οι εικόνες δεν είναι φωτογραφίες

ΠΟΛΙΤΙΣΜΟΣ · 30.03.2019 - 23:24
Υπάρχουν κάποιοι καλλιτέχνες που διαθέτουν τις ικανότητες να υπερβούν όλα τα δεδομένα όρια του εφικτού, είτε χρησιμοποιώντας παστέλ λαδιού, ακρυλικά χρώματα, κάρβουνο, είτε ένα απλό…
Πήρε ένα μολύβι και υποσχέθηκε ότι θα ανάψει φωτιά με αυτό – Στην αρχή κανείς δεν τον πίστευε ώσπου…

Πήρε ένα μολύβι και υποσχέθηκε ότι θα ανάψει φωτιά με αυτό – Στην αρχή κανείς δεν τον πίστευε ώσπου…

WHAT THE FACT · 29.03.2019 - 23:40
«Φωτιά» στο διαδίκτυο έχει βάλει ένα βίντεο με τον τίτλο «Μπορείτε να ανάψετε φωτιά με ένα μολύβι;» το οποίο έχει σχεδόν φτάσει τις 4 εκατομμύρια…
Βόλος: Επιτέθηκαν και τραυμάτισαν συγκρατούμενό τους στο κεφάλι με μολύβι

Βόλος: Επιτέθηκαν και τραυμάτισαν συγκρατούμενό τους στο κεφάλι με μολύβι

ΕΛΛΑΔΑ · 05.05.2018 - 05:40
Τσακώθηκαν με συγκρατούμενό τους και τον έπληξαν στο κεφάλι με μολύβι, με αποτέλεσμα να του προκαλέσουν κάκωση.
Viral: Ο εγκέφαλός σας δε θα πιστέψει ποτέ ότι αυτές οι εικόνες δεν είναι φωτογραφίες

Viral: Ο εγκέφαλός σας δε θα πιστέψει ποτέ ότι αυτές οι εικόνες δεν είναι φωτογραφίες

ΠΟΛΙΤΙΣΜΟΣ · 06.11.2016 - 11:26
Υπάρχουν κάποιοι καλλιτέχνες που διαθέτουν τις ικανότητες να υπερβούν όλα τα δεδομένα όρια του εφικτού, είτε χρησιμοποιώντας παστέλ λαδιού, ακρυλικά χρώματα, κάρβουνο, είτε ένα απλό…
Viral video: Πώς να ανάψετε φωτιά με ένα μολύβι!

Viral video: Πώς να ανάψετε φωτιά με ένα μολύβι!

WHAT THE FACT · 07.10.2016 - 13:58
«Φωτιά» στο διαδίκτυο έχει βάλει ένα βίντεο με τον τίτλο «Μπορείτε να ανάψετε φωτιά με ένα μολύβι;», το οποίο σε μόλις δύο ημέρες έχει ξεπεράσει…
Μοναδικά έργα τέχνης από ξύσμα… μολυβιού! (photos)

Μοναδικά έργα τέχνης από ξύσμα… μολυβιού! (photos)

WHAT THE FACT · 09.04.2015 - 23:51
Όταν η φαντασία δεν έχει όρια και στις φλέβες ρέει άφθονο καλλιτεχνικό αίμα, τότε «γεννιούνται» ξεχωριστές δημιουργίες.
Τον έδιωξαν από το σχολείο γιατί έπαιζε με το... (βίντεο)

Τον έδιωξαν από το σχολείο γιατί έπαιζε με το... (βίντεο)

ΚΟΣΜΟΣ · 08.04.2014 - 17:54
Ένας μαθητής αποβλήθηκε από το σχολείο του στο Νιου Τζέρσι εξαιτίας του... μολυβιού του!
Τώρα μπορείτε να φυτέψετε και τα... μολύβια σας! Είναι για καλό σκοπό!

Τώρα μπορείτε να φυτέψετε και τα... μολύβια σας! Είναι για καλό σκοπό!

WHAT THE FACT · 03.11.2013 - 21:00
Η επανάσταση στην οικολογία, ήρθε και στα μολύβια των παιδιών σας.
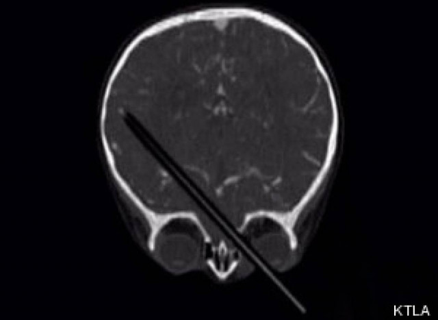
Ζούσε επί 15 χρόνια με ένα μολύβι καρφωμένο στο κεφάλι του

Ζούσε επί 15 χρόνια με ένα μολύβι καρφωμένο στο κεφάλι του

ΚΟΣΜΟΣ · 30.05.2013 - 17:10
Γερμανοί γιατροί ισχυρίζονται ότι ένας 24χρονος ζούσε με ένα μολύβι επί 15 ολόκληρα χρόνια μέσα στο κεφάλι του, σύμφωνα με δημοσίευμα της Huffington Post.
ΦΡΙΚΗ: Μολύβι καρφώθηκε στον εγκέφαλο ενός παιδιού 2 ετών

ΦΡΙΚΗ: Μολύβι καρφώθηκε στον εγκέφαλο ενός παιδιού 2 ετών

ΚΟΣΜΟΣ · 28.01.2013 - 10:01
Από θαύμα σώθηκε το μόλις 19 μηνών παιδάκι το οποίο έπεσε από το καρεκλάκι του και έπεσε πάνω σε ένα μολύβι το οποίο διαπέρασε το…
Σοκ: Τον άφησαν για 2 μέρες με καρφωμένο μολύβι στο χέρι του

Σοκ: Τον άφησαν για 2 μέρες με καρφωμένο μολύβι στο χέρι του

ΚΟΣΜΟΣ · 15.11.2012 - 16:52
Ο 13χρονος Robbie Appleby-Socket από το Doncaster της Βρετανίας έμεινε δύο μέρες με ένα μολύβι καρφωμένο στο χέρι του, διοτι οι γιατροί είχαν ξεχάσει να…
ΣΟΚ: Ένα χιλιοστό από το... θάνατο!

ΣΟΚ: Ένα χιλιοστό από το... θάνατο!

ΚΟΣΜΟΣ · 05.07.2012 - 09:11
Η μικρή Wren Bowell ήταν άτυχη: καθώς περπατούσε σκόνταψε και έπεσε πάνω στο μολύβι που κρατούσε το οποίο διαπέρασε την κόγχη του ματιού της και…
Ένα χιλιοστό πριν το θάνατο βρέθηκε κοριτσάκι 2 ετών!

Ένα χιλιοστό πριν το θάνατο βρέθηκε κοριτσάκι 2 ετών!

ΚΟΣΜΟΣ · 04.07.2012 - 19:47
Η μικρή Wren Bowell καθώςπερπατούσε σκόνταψε και έπεσε πάνω στο μολύβι που κρατούσε το οποίο διαπέρασε την κόγχη του ματιού της και καρφώθηκε στον εγκέφαλό…
Λευκές γραμμές στα μάτια

Λευκές γραμμές στα μάτια

ΓΥΝΑΙΚΑ · 10.09.2011 - 13:41
Γνωρίστε τα λευκά μολύβια και eyeliner στα μάτια. Μία τάση που μεγαλώνει συνεχώς...
©2012-2025 Newsbomb.gr - All rights reserved
Επωνυμία: GSTE ELECTRONIC PUBLICATIONS LIMITED, Διακριτικός τίτλος: GSTE ELECTRONIC PUBLICATIONS LIMITED, Έδρα Επιχείρησης: Σολωμού 70 & Βάκχου 30 Μεταμόρφωση, Νομική μορφή επιχείρησης: Ελληνικό Υποκατάστημα Αλλοδαπής Εταιρείας, ΑΦΜ – ΔΟΥ: 997434600 ΔΟΥ ΦΑΕ Αθηνών, Στοιχεία επικοινωνίας: Σολωμού 70 & Βάκχου 30 Μεταμόρφωση, 14451, 2106251412, info@newsbomb.gr, Ιδιοκτήτης: Γεωργία Νικολάου, Νόμιμη εκπρόσωπος / Διαχειρίστρια: Γεωργία Νικολάου, Διευθυντής: Γεράσιμος Πολλάτος, Διευθύντρια σύνταξης: Χρυσούλα Γρίβα, Δικαιούχος domain name: ZYRIANO LIMITED
Αριθμός Πιστοποίησης Μ.Η.Τ. 242188