26°C

ΑΚΤΙΝΟΓΡΑΦΙΑ

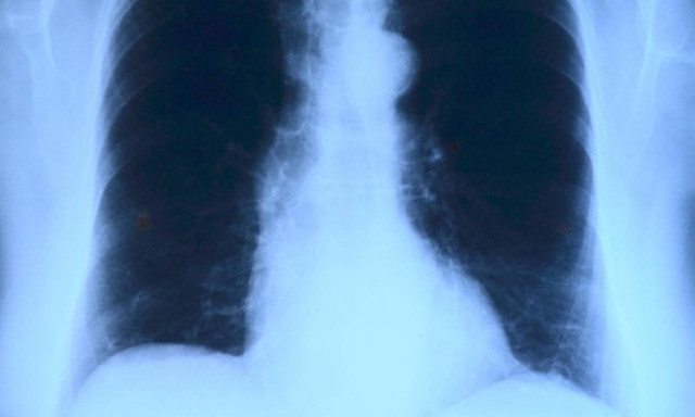
Η ακτινογραφία θώρακος σόκαρε τον γιατρό - Το σπάνιο ελάττωμα της καρδιάς

Η ακτινογραφία θώρακος σόκαρε τον γιατρό - Το σπάνιο ελάττωμα της καρδιάς

ΥΓΕΙΑ · 11.05.2025 - 20:18
Αφορά μόλις το 1% του πληθυσμού, ωστόσο οι περισσότεροι δεν έχουν ιδέα ότι τους συμβαίνει
ΗΠΑ: Άντρας κατάπιε κλεμμένα σκουλαρίκια αξίας 712.095 ευρώ, λίγο πριν τον συλλάβει η αστυνομία

ΗΠΑ: Άντρας κατάπιε κλεμμένα σκουλαρίκια αξίας 712.095 ευρώ, λίγο πριν τον συλλάβει η αστυνομία

ΚΟΣΜΟΣ · 06.03.2025 - 10:24
Η αστυνομία δήλωσε επίσης ότι ο άντρας έχει κλέψει και στο παρελθόν από την ίδια αλυσίδα κοσμημάτων, ληστεύοντας ένα κατάστημα στο Τέξας των ΗΠΑ το 2022
«Τρελή» ακτινογραφία δείχνει άνδρα «γεμάτο αυγά» - Έκανε ένα λάθος στην κουζίνα

«Τρελή» ακτινογραφία δείχνει άνδρα «γεμάτο αυγά» - Έκανε ένα λάθος στην κουζίνα

ΚΟΣΜΟΣ · 23.01.2025 - 06:31
Ούτε οι ίδιοι οι γιατροί δεν πίστευαν στα μάτια τους
Κινέζος ζούσε για 8 δεκαετίες με μια σφαίρα σφηνωμένη στον λαιμό του

Κινέζος ζούσε για 8 δεκαετίες με μια σφαίρα σφηνωμένη στον λαιμό του

ΚΟΣΜΟΣ · 20.11.2022 - 23:17
Ένας 95χρονος Κινέζος βετεράνος του πολέμου ανακάλυψε ότι ζούσε για σχεδόν οκτώ δεκαετίες με μια σφαίρα σφηνωμένη στο λαιμό του.
Κάσος: Ταλαιπωρία για μια ακτινογραφία - Το διαχρονικό πρόβλημα στελέχωσης ιατρών στα ακριτικά νησιά

Κάσος: Ταλαιπωρία για μια ακτινογραφία - Το διαχρονικό πρόβλημα στελέχωσης ιατρών στα ακριτικά νησιά

ΕΛΛΑΔΑ · 01.09.2022 - 06:20
Κάσος: Ταλαιπωρία δίχως τέλος και με πολύ κόστος για μια… ακτινογραφία. Ο πρόεδρος Ομοσπονδίας Δωδεκανήσιων σωματείων, Γιάννης Φραγκούλης μιλάει στο Newsbomb.gr για τις παθογένειες χρόνων…
Θεσσαλονίκη: Ανήλικη κατάπιε καρφίτσα – Την έσωσαν οι γιατροί του «Ιπποκρατείου»

Θεσσαλονίκη: Ανήλικη κατάπιε καρφίτσα – Την έσωσαν οι γιατροί του «Ιπποκρατείου»

ΕΛΛΑΔΑ · 31.01.2022 - 16:10
Απίστευτη περιπέτεια για μια ανήλικη στη Θεσσαλονίκη που κατάπιε καρφίτσα.
Τήνος: Κατέφυγε στον... κτηνίατρο για ακτινογραφία λόγω βλάβης στο κέντρο υγείας

Τήνος: Κατέφυγε στον... κτηνίατρο για ακτινογραφία λόγω βλάβης στο κέντρο υγείας

ΕΛΛΑΔΑ · 10.01.2022 - 21:00
Τήνος: Απίστευτο και όμως αληθινό - Τον έστειλαν για ακτινογραφία στο… κτηνιατρείο
Κορονοϊός: Η εντυπωσιακή φωτογραφία του Ζούκερμπεργκ με ακτινογραφία θώρακος ασθενούς με covid

Κορονοϊός: Η εντυπωσιακή φωτογραφία του Ζούκερμπεργκ με ακτινογραφία θώρακος ασθενούς με covid

ΚΟΣΜΟΣ · 05.11.2021 - 06:20
Ο Μαρκ Ζούκερμπεργκ δημοσίευσε μια εντυπωσιακή φωτογραφία από ακτινογραφία ασθενούς με κορονοϊό
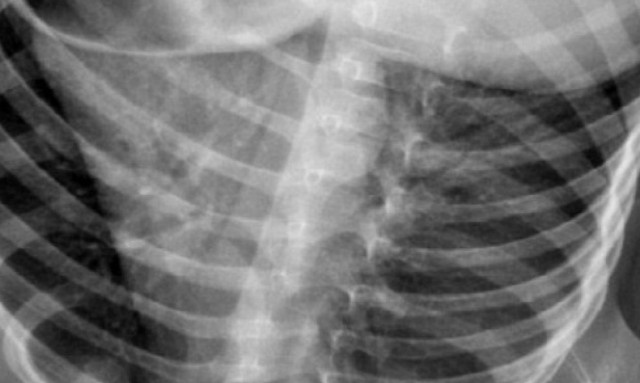
Κορονοϊός: Η ραγδαία επιδείνωση 38χρονου ασθενή - Ακτινογραφίες που σοκάρουν

Κορονοϊός: Η ραγδαία επιδείνωση 38χρονου ασθενή - Ακτινογραφίες που σοκάρουν

ΕΛΛΑΔΑ · 23.09.2020 - 19:15
Σοκ προκαλούν δύο ακτινογραφίες ενός άνδρα, οι οποίες καταγράφηκαν με 7,5 ώρες διαφορά και δείχνουν πώς ο κορονοϊός «διαλύει»  τους πνεύμονες.
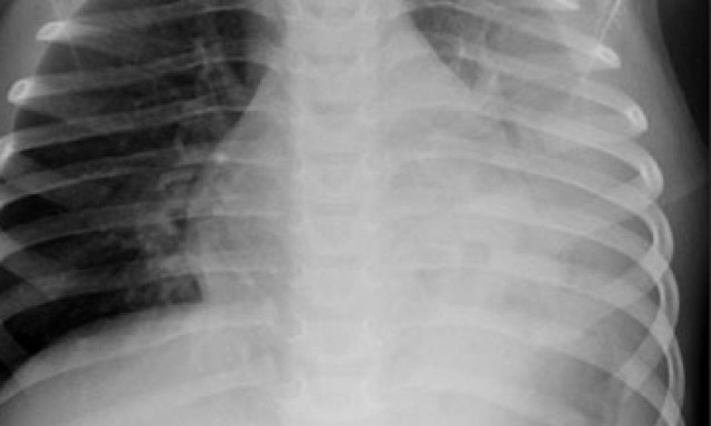
Κορονοϊός: Σοκάρει ακτινογραφία - Ραγδαία επιδείνωση στους πνεύμονες 38χρονου

Κορονοϊός: Σοκάρει ακτινογραφία - Ραγδαία επιδείνωση στους πνεύμονες 38χρονου

ΕΛΛΑΔΑ · 23.09.2020 - 15:00
Οι δύο ακτινογραφίες που ανήρτησε ακτινολόγος στο ΚΑΤ καταγράφηκαν με 7,5 ώρες διαφορά
Στο νοσοκομείο με αφόρητους πόνους - Έπαθαν ΣΟΚ οι γιατροί με αυτά που βρήκαν στο στομάχι του

Στο νοσοκομείο με αφόρητους πόνους - Έπαθαν ΣΟΚ οι γιατροί με αυτά που βρήκαν στο στομάχι του

ΚΟΣΜΟΣ · 29.12.2019 - 11:54
Δεν πίστευαν στα μάτια τους οι γιατροί όταν είδαν την ακτινογραφία στομάχου ενός 54χρονου άνδρα από τη Νότια Κορέα.
ΣΟΚ: Γλίστρησε, έπεσε και καρφώθηκε το κεφάλι της στο καπάκι της χύτρας (pics)

ΣΟΚ: Γλίστρησε, έπεσε και καρφώθηκε το κεφάλι της στο καπάκι της χύτρας (pics)

ΚΟΣΜΟΣ · 27.07.2019 - 18:28
«Άφωνοι» οι γιατροί με το κατόρθωμά της: Γλίστρησε, έπεσε και καρφώθηκε το κεφάλι της στο καπάκι της χύτρας.
Έπαθαν ΣΟΚ οι γιατροί με αυτά που βρήκαν στο στομάχι του

Έπαθαν ΣΟΚ οι γιατροί με αυτά που βρήκαν στο στομάχι του

ΚΟΣΜΟΣ · 25.05.2019 - 16:27
Δεν πίστευαν στα μάτια τους οι γιατροί όταν είδαν την ακτινογραφία του στομάχου ενός 54χρονου άνδρα από τη Νότια Κορέα.
Έπαθαν ΣΟΚ οι γιατροί όταν είδαν την ακτινογραφία του (pics)
Βγήκε για ποτό και πήγε με πόνους στο νοσοκομείο: Έπαθαν ΣΟΚ με αυτό που είδαν στην ακτινογραφία

Βγήκε για ποτό και πήγε με πόνους στο νοσοκομείο: Έπαθαν ΣΟΚ με αυτό που είδαν στην ακτινογραφία

ΚΟΣΜΟΣ · 14.03.2019 - 23:00
Σε περιπέτειες μπήκε ένας νεαρός άντρας, όταν κατά τη διάρκεια εξόδου με τους φίλους του σε μπαρ, αποφάσισε να αποδεχθεί μία πρόκληση που παραλίγο να…
Έπαθαν ΣΟΚ οι γιατροί με αυτό που είδαν στην ακτινογραφία του (pics)

Έπαθαν ΣΟΚ οι γιατροί με αυτό που είδαν στην ακτινογραφία του (pics)

ΚΟΣΜΟΣ · 12.03.2019 - 01:55
Ένας 52χρονος άντρας από την Ινδία πήγε στο νοσοκομείο, διαμαρτυρόμενος για πόνους στο στομάχι.
Χαλκίδα: Πήγε στο νοσοκομείο με φρικτούς πόνους - Έπαθε σοκ όταν είδε την ακτινογραφία (pics)

Χαλκίδα: Πήγε στο νοσοκομείο με φρικτούς πόνους - Έπαθε σοκ όταν είδε την ακτινογραφία (pics)

ΕΛΛΑΔΑ · 04.03.2019 - 23:48
Περιπέτεια για μία γυναίκα στη Χαλκίδα, η οποία μεταφέρθηκε στο νοσοκομείο μετά από πτώση στο δρόμο.
Στο νοσοκομείο με αφόρητους πόνους: «Κάγκελο» με αυτά που βρήκαν στο στομάχι του οι γιατροί

Στο νοσοκομείο με αφόρητους πόνους: «Κάγκελο» με αυτά που βρήκαν στο στομάχι του οι γιατροί

ΚΟΣΜΟΣ · 21.02.2019 - 11:20
Δεν πίστευαν στα μάτια τους οι γιατροί όταν είδαν την ακτινογραφία του στομάχου ενός 54χρονου άνδρα από τη Νότια Κορέα.
Θεσπρωτία: Κοίταξαν την ακτινογραφία και έπαθαν σοκ – Αδιανόητο αυτό που προηγήθηκε (pics)

Θεσπρωτία: Κοίταξαν την ακτινογραφία και έπαθαν σοκ – Αδιανόητο αυτό που προηγήθηκε (pics)

ΕΛΛΑΔΑ · 11.11.2018 - 23:17
Ένα απάνθρωπο περιστατικό σημειώθηκε στην περιοχή Πέρδικα στη Θεσπρωτία.
Βόλος: Δεν πίστευαν στα μάτια τους μόλις είδαν την ακτινογραφία του 4χρονου! Σοκαρισμένοι οι γονείς

Βόλος: Δεν πίστευαν στα μάτια τους μόλις είδαν την ακτινογραφία του 4χρονου! Σοκαρισμένοι οι γονείς

ΕΛΛΑΔΑ · 05.08.2018 - 18:57
Αγώνα δρόμου για να σώσουν ένα τετράχρονο αγοράκι, το παιχνίδι του οποίου παραλίγο να έχει τραγική κατάληξη έκαναν το μεσημέρι του Σαββάτου (04/08) οι γιατροί…
Η ακτινογραφία 35χρονης που άφησε με ανοιχτό το στόμα τους γιατρούς

Η ακτινογραφία 35χρονης που άφησε με ανοιχτό το στόμα τους γιατρούς

ΕΛΛΑΔΑ · 29.07.2018 - 13:22
Οι γιατροί καθημερινά έρχονται αντιμέτωποι με δεκάδες περιστατικά. Άλλες φορές εύκολα άλλες δύσκολα και άλλες... περίεργα.
Ηράκλειο: Το «αρρωστημένο» μυστικό που αποκάλυψε η ακτινογραφία της μαθήτριας για τις Πανελλήνιες

Ηράκλειο: Το «αρρωστημένο» μυστικό που αποκάλυψε η ακτινογραφία της μαθήτριας για τις Πανελλήνιες

ΕΛΛΑΔΑ · 02.07.2018 - 19:57
Σάλο έχει προκαλέσει η υπόθεση της… ακτινογραφίας μιας μαθήτριας στο Ηράκλειο, καθώς άναψε φωτιές, οδηγώντας στη σύλληψη ενός προσώπου υπεράνω υποψίας.
Σάλος στην Κρήτη: Μαθήτρια πήγε για ακτινογραφία και τη... θώπευσαν στο Κέντρο Υγείας

Σάλος στην Κρήτη: Μαθήτρια πήγε για ακτινογραφία και τη... θώπευσαν στο Κέντρο Υγείας

ΕΛΛΑΔΑ · 25.06.2018 - 13:41
Η καταγγελία της 17χρονης για ασέλγεια σόκαρε ακόμα και τη μητέρα της 17χρονης, καθώς ο φερόμενος ως δράστης ήταν φίλος της οικογένειας.
Νέα υπόθεση διαφθοράς στο Κ.Υ. Μυκόνου - Πώς «εξαφανίστηκε» το ακτινολογικό μηχάνημα

Νέα υπόθεση διαφθοράς στο Κ.Υ. Μυκόνου - Πώς «εξαφανίστηκε» το ακτινολογικό μηχάνημα

ΥΓΕΙΑ · 14.05.2018 - 11:51
Ο έλεγχος του Σώματος Επιθεωρητών Υπηρεσιών Υγείας Πρόνοιας (ΣΕΥΥΠ), στο Κέντρο Υγείας Μυκόνου, αποκάλυψε νέα υπόθεση διαφθοράς.
Πύργος: Είδαν την ακτινογραφία και σοκαρίστηκαν - Επιβεβαιώθηκαν οι φόβοι τους (photos)

Πύργος: Είδαν την ακτινογραφία και σοκαρίστηκαν - Επιβεβαιώθηκαν οι φόβοι τους (photos)

ΕΛΛΑΔΑ · 19.12.2016 - 13:39
Η ακτινογραφία δεν άφηνε περιθώρια για δεύτερη σκέψη.
©2012-2026 Newsbomb.gr - All rights reserved
Επωνυμία: GSTE ELECTRONIC PUBLICATIONS LIMITED, Διακριτικός τίτλος: GSTE ELECTRONIC PUBLICATIONS LIMITED, Έδρα Επιχείρησης: Σολωμού 70 & Βάκχου 30 Μεταμόρφωση, Νομική μορφή επιχείρησης: Ελληνικό Υποκατάστημα Αλλοδαπής Εταιρείας, ΑΦΜ – ΔΟΥ: 997434600 ΔΟΥ ΦΑΕ Αθηνών, Στοιχεία επικοινωνίας: Σολωμού 70 & Βάκχου 30 Μεταμόρφωση, 14451, 2106251412, info@newsbomb.gr, Ιδιοκτήτης: Γεωργία Νικολάου, Νόμιμη εκπρόσωπος / Διαχειρίστρια: Γεωργία Νικολάου, Διευθυντής: Γεράσιμος Πολλάτος, Διευθύντρια σύνταξης: Χρυσούλα Γρίβα, Δικαιούχος domain name: ZYRIANO LIMITED
Αριθμός Πιστοποίησης Μ.Η.Τ. 242188