Γυναίκα είχε φρικτούς πονοκεφάλους - Δείτε τι ανακάλυψαν οι γιατροί
Ο χειρότερος εφιάλτης κάθε ανθρώπου!
«Μάρτυρες» σ’ ένα πρωτόγνωρο περιστατικό έγιναν οι γιατροί σε νοσοκομείο της Αυστραλίας, όταν μια 25χρονη γυναίκα διακομίσθηκε έπειτα από έντονους πονοκεφάλους.
Μάλιστα, όπως αναφέρει το CNN, όταν είπε στους γιατρούς πως δεν είχε ιδέα για την αιτία, της έκαναν εξετάσεις για να διαπιστώσουν το πρόβλημα.
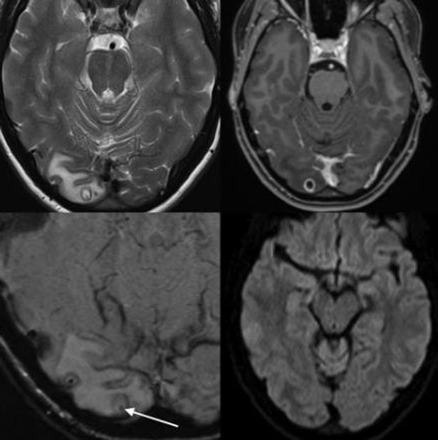
Αυτό που είδαν από την μαγνητική τομογραφία τους σόκαρε και για τον λόγο αυτό, αποφάσισαν να του προχωρήσουν άμεσα σε επέμβαση.

Ένα σκουλήκι-ταινία βρισκόταν στο κεφάλι της γυναίκας με αποτέλεσμα οι αφόρητοι πονοκέφαλοι της να μην γιατρεύονται με κανέναν τρόπο.
Το πιο περίεργο από όλα είναι πως η γυναίκα δεν είχε ταξιδέψει σε καμία περιοχή όπου συναντώνται τέτοιες περιπτώσεις, όπως η Ασία, η Αφρική και η Λατινική Αμερική.
Παραμένει άγνωστο ακόμα το πώς το συγκεκριμένο σκουλήκι βρέθηκε στο κεφάλι της γυναίκας.
Δείτε όλες τις τελευταίες Ειδήσεις από την Ελλάδα και τον Κόσμο, τη στιγμή που συμβαίνουν, στο Newsbomb.gr
Διαβάστε επίσης:
Rafale: Έρχονται «φορτωμένα»! Οι πανίσχυροι πύραυλοι Exocet και Meteor πού φτάνουν μέχρι... Τουρκία!