«Αόρατος δολοφόνος»: Ο μύκητας που απειλεί τον εγκέφαλο και αντιστέκεται στα φάρμακα

Γιατροί παγκοσμίως κρούουν τον κώδωνα του κινδύνου για τον ανθεκτικό μύκητα που πλήττει κρίσιμες μονάδες υγείας και εξαπλώνεται ραγδαία

«Αόρατος δολοφόνος»: Ο μύκητας που απειλεί τον εγκέφαλο και αντιστέκεται στα φάρμακα

Παγκόσμια ανησυχία προκαλεί η αυξανόμενη εξάπλωση της Candida auris, μιας επικίνδυνης λοίμωξης που ο Παγκόσμιος Οργανισμός Υγείας έχει κατατάξει στους 19 πιο απειλητικούς μύκητες για τη δημόσια υγεία.

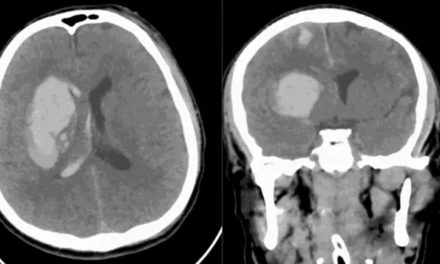
Η πιο πρόσφατη καταγεγραμμένη περίπτωση αφορά έναν 34χρονο άνδρα στα Ηνωμένα Αραβικά Εμιράτα, ο οποίος μολύνθηκε από τον μύκητα τρεις μήνες μετά από σοβαρό τροχαίο και νοσηλεία σε ΜΕΘ. Παρά τη φαρμακευτική αγωγή και τα χειρουργεία, η λοίμωξη προχώρησε έως και τον εγκέφαλο, με την Candida auris να αποδεικνύεται εξαιρετικά ανθεκτική.

Διαβάστε περισσότερα στο gazzetta.gr

Σχόλια
Ροή Ειδήσεων Δημοφιλή