Κορονοϊός: Πιθανά προβλήματα σε ασθενείς που έχουν θεραπευτεί
Κορονοϊός: Φαίνεται πως ο ιός είναι αρκετά επιθετικός για τον ανθρώπινο οργανισμό ακόμη και μετά την ίασή του.
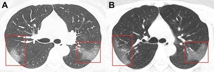
Μια ανησυχητική βλάβη στους πνεύμονες αφήνει, όπως φαίνεται, σε ορισμένους ασθενείς που θεραπεύτηκαν, ο κορονοϊός.
Στην παραπάνω διαπίστωση κατέληξε μια ομάδα γιατρών-ερευνητών από το νοσοκομείο Princess Margaret του Χονγκ Κονγκ, που εξέτασε 12 ανθρώπους, οι οποίοι νόσησαν από τον Covid-19 και τον ξεπέρασαν, καθώς κάποιοι από αυτούς αποδείχθηκε πως είχαν περιορισμένη χωρητικότητα πνευμόνων κατά 20 μέχρι 30%, μετά την ανάρρωσή τους, όπως μεταδίδει το businessinsider.com.
«Έχουν δυσκολία να αναπνεύσουν όταν περπατούν λίγο γρηγορότερα», εξήγησε ο επικεφαλής της έρευνας, Όουεν Τσανγκ Τακ-γιν.
Σύμφωνα πάντα με την έρευνα από το Χονγκ Κονγκ, ότι οι συγκεκριμένοι άνθρωποι κινδυνεύουν να αναπτύξουν πνευμονική ίνωση: Μια κατάσταση, που χαρακτηρίζεται από τη σκλήρυνση του πνευμονικού ιστού, και εμποδίζει τα αναπνευστικά όργανα να λειτουργούν σωστά.

Έχει πολύ μεγάλη σημασία, πάντως, η συμβουλή των γιατρών στους ασθενείς που θεραπεύτηκαν από τη νόσο Covid-19, να κάνουν γυμναστική, προκειμένου να επιστρέψει στα φυσιολογικά της επίπεδα η λειτουργία των πνευμόνων.
Δείτε όλες τις τελευταίες Ειδήσεις από την Ελλάδα και τον Κόσμο, τη στιγμή που συμβαίνουν, στο Newsbomb.gr.
Διαβάστε επίσης:
Κορονοϊός - Ρεπορτάζ Newsbomb.gr: Σε καραντίνα δύο χωριά της Κοζάνης - «Κλεισμένοι όλοι στα σπίτια»
Κορονοϊός: Με κάρτα και ανά..τετραγωνικό στα σούπερ μάρκετ! Διευρύνεται το ωράριο - Ανοιχτά Κυριακές
Διαβάστε επίσης