Τέλος καλό για το τρίχρονο που κατάπιε ξυραφάκι - Από καπάκια μέχρι παραμάνες «δοκιμάζουν» τα παιδιά
Η ηλικιακή ομάδα από έξι μηνών έως 4 ετών η πιο κρίσιμη για κατάποση επικίνδυνων αντικειμένων
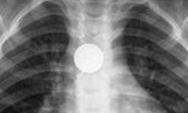
Αίσια έκβαση είχε η περιπέτεια για το τρίχρονο παιδί που κατάπιε ξυραφάκι και μεταφέρθηκε επειγόντως στο νοσοκομείο, όπου υπεβλήθη εσπευσμένα σε χειρουργική επέμβαση για να αφαιρεθεί το επικίνδυνο αντικείμενο.
Το χειρουργείο ήταν πετυχημένο και το μικρό παιδί αναρρώνει πλέον στο σπίτι, καθώς δεν χρειάστηκε να νοσηλευτεί.

Ωστόσο το περιστατικό έρχεται να υπενθυμίσει στους γονείς τους κινδύνους που διατρέχουν ιδιαίτερα τα μικρά παιδιά μέσα στο σπίτι.
Γονείς μιλώντας στον Alpha περιγράφουν την αγωνία τους, όταν τα παιδιά τους, διέφυγαν της προσοχής τους και «δοκίμασαν» διάφορα αντικείμενα.
Όπως στην περίπτωση ενός πατέρα που ξαφνικά ενώ ήταν με φίλους είδε το παιδί του μόλις ενός έτους να πνίγεται έχοντας καταπιεί ένα καπάκι από μπουκάλι, που στάθηκε στον λαιμό του. Η άμεση αντίδρασή του γλίτωσε το παιδί από τα χειρότερα, καθώς όπως είπε το γύρισε ανάποδα, χτυπώντας το στην πλάτη με αποτέλεσμα το καπάκι να βγει.
Όμως τα περιστατικά είναι αρκετά, όπως διαπιστώνει το ρεπορτάζ του καναλιού, καθώς στα παιδιατρικά των νοσοκομείων δεν είναι λίγες οι περιπτώσεις μικρών παιδιών που καταφθάνουν με κάτι...στο στόμα. Όπως ένα 4χρονο αγοράκι πριν από λίγες ημέρες που κατάπιε μία παραμάνα και μεταφέρθηκε αμέσως στο Παίδων Αγλαΐα Κυριακού.
Όπως εξηγεί παιδίατρος, συνηθέστερα αντικείμενα που καταπίνουν τα παιδιά, ηλικίας από 6 μηνών έως 4 ετών είναι νομίσματα, μπαταρίες, κουμπιά, παιχνίδια και μαγνήτες, τα οποία αν βρεθούν στον οισοφάγο ή στο στομάχι χρειάζονται άμεση εξαγωγή.