Απίστευτο: Ζούσε με μια σφαίρα στην καρδιά του επί δύο μήνες

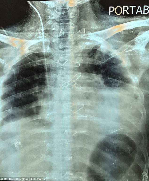
Ο 32χρονος Bharat Sharma, από την Ινδία, δέχτηκε δυο σφαίρες στις 22 Ιουλίου κατά τη διάρκεια ληστείας σε τράπεζα, την ώρα που προσπαθούσε να καταθέσει κάτι επιταγές

Απίστευτο: Ζούσε με μια σφαίρα στην καρδιά του επί δύο μήνες

Ο άτυχος άνδρας μεταφέρθηκε στο νοσοκομείο όπου οι γιατροί κατάφεραν και αφαίρεσαν τη μια σφαίρα που τον είχε χτυπήσει στη μέση.

Ωστόσο φοβήθηκαν να προχωρήσουν στη δεύτερη επέμβαση, για να βγάλουν τη σφαίρα που τον είχε βρει ελάχιστα χιλιοστά από την καρδιά του!

Τελικά, μια ομάδα γιατρών σε νοσοκομείο της Gujarat στην Ινδία ανέλαβε την επικίνδυνη επέμβαση που έγινε με επιτυχία στις 23 Σεπτεμβρίου, δυο μήνες δηλαδή μετά το περιστατικό.

Όπως αναφέρει η Daily Mail ο τυχερός, μέσα στην ατυχία του, άνδρας θα μπορούσε να είχε πεθάνει καθώς η σφαίρα απείχε ελάχιστα από την καρδιά του.

Έτσι ζούσε για δυο μήνες με τη σφαίρα μέσα του.

Διαβάστε επίσης:

Φρίκη: Δυο άνδρες άρπαξαν 11χρονο από τον δρόμο και τον βίασαν

Σχόλια
Ροή Ειδήσεων Δημοφιλή